Oral Veneer Price Rental Property Park, Il
What Influences The Cost Of Veneers?
Evaluation their credentials and also see photographic examples of other job that has actually been finished. We would certainly additionally suggest you see both the successful as well as those veneers that did not accomplish a wonderful result. The problem of your teeth and the purpose in covering those teeth with veneers. The next contributing element, still dealing with you, the individual, is the variety of veneers necessary to accomplish the best finished product of a superb SMILE. How many do you count versus the amount of the aesthetic dental practitioner might recommend.
Can you get veneers on just 2 teeth?
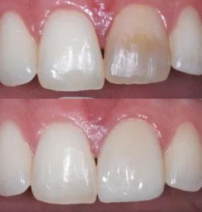
Basically, a veneer is a thin wafer of porcelain that is permanently bonded to a tooth to mask its natural color, shape, or positioning in the mouth. You can get a veneer for just one tooth (let's say you tripped and fell when you were little and now it has a gray cast to it) or multiple teeth.
Why Do People Obtain Dental Veneers?
Material veneers, on the other hand, can be a fair bit cheaper. They are less expensive to generate as well as typically take fewer sees to finish, however, they likely won't last as long. Resin veneers set you back anywhere from $250 to $1,500 per tooth. You can enhance that life span by understanding your diet regimen. Brush your teeth twice a day well, floss when as well as most importantly see your dental professional two times a year. They will certainly keep an eye on how much do porcelain veneers cost in texas the wellness of your teeth and also gum tissues, capture x-rays for below the periodontal line monitoring, and also always offer you an expert cleaning. It is essential to keep in mind that when it pertains to veneers, it is not a one-size-fits-all option.
You will always recognize the cost prior to therapy is carried out. and also we'll respond to any kind of questions you may have as well as begin in improving your smile. FSA or Adaptable Spending Arrangments is a collection quantity of pretax money extracted from your salary and also put aside for healthcare prices. FSAs are only offered through companies offering it in their benefits plan. FSAs are easy and also simple to utilize with a debit card so you can utilize them whenever. Bear in mind that FSA will not roll over, so you require to use it all up before the end of the year.
In this regard, you might be paying even more for porcelain veneers put, however they will also last you twice as lengthy. Porcelain veneers vary in rate from $925 to $2,500, however average around $1500 per tooth. The price may be better if dental contouring is called for. Porcelain veneers are often component of a smile remodeling that addresses numerous cosmetic issues in a series of treatments. However, veneers are additionally an efficient alternative on their own to boost your smile. Porcelain veneers can last up to a years with proper care. The material is additionally resistant to staining, so you could want to obtain teeth lightening prior to veneers to keep the shade of your smile consistent.
How much does a full set of veneers cost?
According to the Consumer Guide to Dentistry, traditional veneers can cost an average of $925 to $2,500 per tooth and can last 10 to 15 years. No-prep veneers cost around $800 to $2000 per tooth and last between 5 to 7 years. In the long-term, traditional veneers are often the most cost-effective option.
Some laboratories have actually currently presented the innovation of a CAD/CAM system. According to Dr. Michael Ayzin DDS, they are a lasting investment in enhancing not simply the appearance yet your general dental health. One of the things that maintain us healthy and balanced is our self-worth. If you have self-confidence, it can transform your life for the better. HSA is government-regulated savings account that lets you reserve pretax income to cover health care costs not included in your insurance policy. Its primary difference with FSA is that funds can surrender for the next year, but HSAs will require you to have high insurance deductible insurance coverage.
Veneers feature a hefty price, those that think they may not be able to afford them ought to think about waiting. Even if funding is utilized, the total quantity will require to be paid completely eventually. If you do not make your settlements, your credit report will certainly decline.

With time, think in terms of decades, like 10 to 20 years, your veneers may age sufficient to require substitute. For that reason, veneers are considered a permanent replacement, but they are changeable if they need to be readjusted, removed, or redone in the future. With that said being said, a lovely smile can aid you to be the best version fo on your own. Research studies show that sharing a stunning smile, be it natural or from veneers, can boost self-confidence, self-esteem, as well as aid breakthrough jobs. There are different factors to take into consideration, such as if you're an excellent candidate for veneers based on your case history, as well as if the monetary price fits within your spending plan. This overview will certainly clarify what veneers are, how much you can anticipate to spend for them, and who are the best candidates for veneers. Prosthodontists have seen it all, and they can utilize their proficiency to help you determine what's the right choice for you.
Can you pay for veneers monthly?
Veneers are very much a cosmetic treatment that have been designed purely to enhance they way your teeth look. We are able to offer flexible 0% & low interest payment plans that can help break up the cost of treatment.
However, as pointed out earlier, Lumineers can just be done on particular individuals. The very first visit is a 1/2 hr appointment where impressions are made based upon the people' teeth which are then utilized to make brand-new Lumineers. The final check out is slightly longer and is where the Lumineers are fitted and positioned on the teeth.
As long as science as well as medication are included, creativity is necessary in equal measure to make certain the end result validates your investment. This is a complex process that does not fit a one-size-fits-all design. Inevitably, look around and also seek 2nd or 3rd opinions.
Examine if the dental institutions in your area can supply a price cut on your solutions.
The price is normally less than standard pricing due to the fact that trainees are the ones to do the service.
Dr. Shiney George DDS said that these types of therapy are a lasting investment not just in your look however additionally in your total health.
Having a healthy and balanced smile as well as sensation certain can help alter the client's search for the much better.
The Benefits Of Having Veneers For Whole Mouth
But HSA will need you to have a high deductible insurance strategy. Digital x-ray-- this is needed to take a look at the impression of your teeth and mouth. Prices commonly varies depending on the city that you reside in.
Last updated